- Trang chủ /
- Bệnh xã hội /
- Bệnh lậu /
- Nguyên nhân triệu trứng và cách chữa bệnh lậu 5/8/24
Nguyên nhân triệu trứng và cách chữa bệnh lậu 5/8/24
-
-
Tham vấn: Bác sĩ Vũ Hồng Lân
Bệnh lậu là một trong những bệnh xã hội phổ biến nhất. Bệnh có thể bắt gặp ở mọi độ tuổi, đối tượng kể cả nam, nữ, người già hoặc trẻ nhỏ. Lậu đặc biệt nguy hiểm vì nếu không được điều trị sớm sẽ gây ảnh hưởng nghiêm trọng đến sức khỏe, khả năng sinh sản của người bệnh. Tìm hiểu triệu chứng và cách điều trị bệnh lậu sẽ giúp bạn giảm bớt nỗi lo về bệnh, đồng thời biết cách điều trị bệnh và phòng tránh lây nhiễm cho người khác.
Nguyên nhân gây bệnh lậu

Bài viết có thể bạn quan tâm:
Những con đường lây nhiễm bệnh lậu chủ yếu là:
Lây qua quan hệ tình dục: Quan hệ tình dục không an toàn là con đường lây nhiễm bệnh lậu phổ biến nhất. Khuẩn lậu cầu tồn tại trong dịch nhầy, khí hư, tinh dịch, máu, niêm mạc… của người bệnh nên khi có sự tiếp xúc giữa 2 cơ quan sinh dục mà không dùng biện pháp bảo vệ thì khuẩn lậu dễ dàng xâm nhập từ người bệnh sang người không có bệnh. Không chỉ lây qua đường âm đạo, xu hướng quan hệ bằng hậu môn, quan hệ bằng miệng cũng làm lây nhiễm bệnh nếu như mọi người không dùng biện pháp bảo vệ. Vì vậy mọi người không nên chủ quan cho rằng bệnh lậu chỉ lây khi có quan hệ tình dục thực sự (qua âm đạo).
Lây truyền từ mẹ sang con: Nữ giới khi mắc bệnh lậu nguy hiểm hơn so với nam giới, nguyên nhân là bệnh có thể lây truyền từ mẹ sang con thông qua nước ối, dịch nhầy, máu.
Các nguyên nhân khác: Ngoài ra bệnh lậu có thể lây truyền thông qua việc dùng chung đồ dùng cá nhân (khăn tắm, bàn chải đánh răng…) hoặc mặc chung quần áo lót với người bệnh. Tuy nhiên tỷ lệ mắc bệnh qua các con đường này là khá hiếm bởi khuẩn lậu không sống được quá lâu ở môi trường bên ngoài.
Triệu chứng của bệnh lậu
Bệnh lậu có thời gian ủ bệnh khá ngắn, thường chỉ khoảng từ 3 đến 5 ngày, sau khi mắc bệnh thì người bệnh đã bắt đầu nhận biết được các dấu hiệu của bệnh lậu đầu tiên để. Biểu hiện của bệnh lậu ở nam và nữ khác nhau, cụ thể là:
Các dấu hiệu bệnh lậu ở nam giới

Nam giới khi mắc bệnh thường có các triệu chứng tương tự như với bệnh viêm niệu đạo, đó là:
- Đi tiểu nhiều lần trong ngày, vừa đi tiểu xong lại có cảm giác muốn đi tiếp, trung bình cứ 30 phút đến 1 tiếng phải đi tiểu 1 lần.
- Luôn trong trạng thái đi tiểu cấp, đôi khi người bệnh còn không kiểm soát được dòng nước tiểu của mình.
- Mỗi lần đi tiểu bị buốt nhói đến tận óc, đây cũng là nguyên nhân người bệnh thường không dám đi tiểu mạnh mà chỉ són ra từng giọt một.
- Tia nước tiểu yếu, nước tiểu có màu vàng đậm, mùi khai mạnh.
- Một số trường hợp đi tiểu ra máu tươi. Máu có thể xuất hiện ở cuối bãi nước tiểu hoặc hòa lẫn vào nước tiểu khiến nước tiểu có màu hồng.
- Khi quan hệ tình dục có cảm giác đau tức, đặc biệt là đau mạnh hơn khi xuất tinh, bệnh nặng nam giới có thể xuất tinh ra máu kèm tinh dịch.
- Vào sáng mai khi mới ngủ dậy nam giới có hiện tượng chảy dịch ở lỗ sáo, dịch này nhầy nhụa như mủ chuối, thường gọi là hiện tượng giọt sương mai.
- Ngoài ra nam giới khi mắc bệnh còn có một số triệu chứng toàn thân khác như nổi hạch bẹn, sốt cao, mệt mỏi.
Các triệu chứng bệnh lậu ở nữ giới

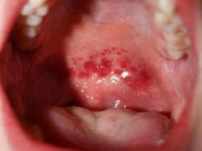
Hình ảnh bệnh giang mai
- Khi bị bệnh lậu nữ giới cũng có các triệu chứng liên quan đến viêm niệu đạo như đi tiểu buốt, đi tiểu cấp, tiểu nhiều lần trong ngày, tiểu ra máu, nước tiểu có mùi hôi khai mạnh.
- Khi quan hệ tình dục có hiện tượng bị đau rát ở âm đạo, ách tức ở khu vực bụng dưới.
- Âm đạo, cổ tử cung sưng to, tấy đỏ, viêm loét.
- Khí hư ra nhiều hơn bình thường, khí hư này có mùi hôi tanh khó chịu, màu xanh hoặc xám…
- Thường xuyên có các cơn đau đột ngột ở bụng dưới.
- Mệt mỏi, sút cân, suy giảm ham muốn tình dục, sốt, nổi nhiều hạch.
Những người mắc bệnh lậu ở miệng thường có triệu chứng tương tự như bệnh viêm họng, khó nhai nuốt, hơi thở có mùi hôi. Bệnh lậu ở miệng nếu không được chữa trị sớm có thể biến chứng thành ung thư vòm họng.
Cách điều trị bệnh lậu ở nam giới và nữ giới hiệu quả

Bệnh lậu tuy nguy hiểm nhưng nếu được điều trị sớm thì có thể chữa khỏi hoàn toàn. Vì thế khi gặp các biểu hiện của bệnh, bạn cần đến các cơ sở y tế để khám chữa cụ thể.
Bệnh lậu được chia làm 2 giai đoạn cấp tính và mãn tính. Với bệnh lậu cấp tính thì phác đồ điều trị lậu khá đơn giản, cách chữa bệnh lậu đơn giản chỉ cần tiêm hoặc uống thuốc kháng sinh là bệnh đã khỏi. Tuy nhiên cần tham khảo ý kiến bác sĩ trước khi uống và cần thăm khám cụ thể để biết giai đoạn phát triển của bệnh.
Trong quá trình chữa bệnh cả nam và nữ giới cần phải kiêng quan hệ tình dục để tránh lây nhiễm cho người khác cũng như hạn chế mức độ phát triển của vi khuẩn.
Kết hợp điều trị cả bạn tình để không bị tái phát lại lần 2. Tăng cường uống thật nhiều nước (trên 2 lít) mỗi ngày để loại bỏ một phần khuẩn lậu qua hệ bài tiết.
Trên đây là những thông tin tổng quát về bệnh lậu là gì. Nếu còn điều gì băn khoăn bạn có thể đến trực tiếp Phòng khám đa khoa Thái Hà- số 11 Thái Hà, Đống Đa, Hà Nội hoặc gọi vào số điện thoại chúng tôi rất vui lòng được tư vấn cho các bạn.
Đầu bệnh xã hội
điều trị bệnh giang mai ở đâu https://ttytnuithanh.com/kham-chua-benh-giang-mai-o-dau
địa chỉ khám bệnh xã hội https://ttytnuithanh.com/kham-benh-xa-hoi-o-dau-tai-ha-noi
bệnh lậu chữa ở đâu https://ttytnuithanh.com/dia-chi-kham-chua-benh-lau-tai-ha-noi
- khám bệnh lậu
- Chi phí chữa bệnh lậu hết bao nhiêu tiền? giá chỉ từ 5 triệu
- khám bệnh giang mai
- xét nghiệm bệnh xã hội ở đâu
Cuối bệnh xã hội
Cập nhật lần cuối: 05-10-2024 14:13:14
